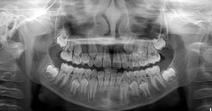
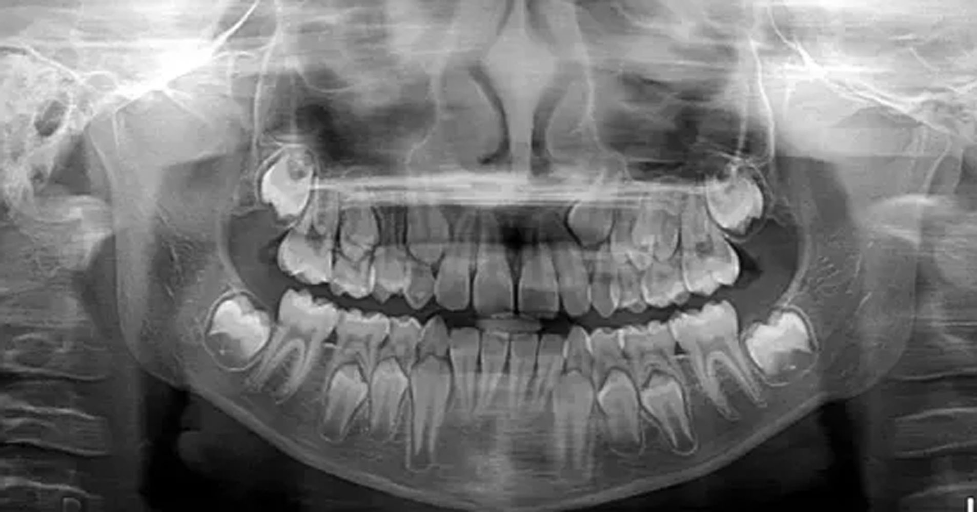
Among clear evidence that ICE and Homeland is violating their own mandate NOT to use wisdom teeth and bone analysis, it is still a large money-maker for dentists when they are hired by ICE and Homeland to put children into adult detention. Here’s a quote from this LA Times article.
“In a report for an attorney this year opposing the use of third molar estimates, Dr. Mike Bowers, a dentist who practices forensic odontology, stated that “dental aging should be considered an indicator of the biological maturity of a growing child. It was not developed to be used for individual age identification.”
“The court system demands a clear determination, and the tool they’re using is not capable of doing that,” Bowers said.
http://www.latimes.com/local/california/la-me-ln-dental-xray-20181002-story.html
